İmplant Tedavisi
Eksik dişlerin yerine doğal diş kökü görevi gören titanyum implantlar yerleştiriyoruz. İmplant tedavisi sayesinde hem estetik görünüm hem...
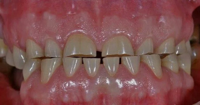
Günümüzde stres kaynaklı diş sıkma ve çene ağrıları sık görülür. EYLÜL DENT’te gece plağı (splint) uygulamaları ve çene kas gevşetici tedavilerle hem dişlerinizi hem ekleminizi koruyoruz.
Tedavi rehberi
Hızlı değerlendirme
Uzman ekibimizle kısa bir ön görüşme yaparak süreç, süre ve fiyat aralığı hakkında hızlı bilgi alabilirsiniz.
Bruksizm, genellikle gece uykuda veya stresli dönemlerde dişleri sıkma veya gıcırdatma davranışı olarak tanımlanır.
Uzun süre fark edilmeyebilir, ancak zamanla dişlerde aşınma, kırılma, hassasiyet ve çene ekleminde ağrı gibi problemlere yol açabilir.

Bruksizm tamamen ortadan kaldırılamasa da, diş ve çene sağlığını korumak ve ağrıyı azaltmak mümkündür:

✨ Bruksizm, çoğu zaman fark edilmeyen ama uzun vadede diş ve çene sağlığını ciddi şekilde etkileyen bir durumdur.
🌿 Erken tanı ve önlem ile dişlerinizi ve çene sağlığınızı koruyabilirsiniz.
Eksik dişlerin yerine doğal diş kökü görevi gören titanyum implantlar yerleştiriyoruz. İmplant tedavisi sayesinde hem estetik görünüm hem...
Eksik dişleriniz için hem estetik hem de fonksiyonel çözümler sunuyoruz. Hareketli protezler Sabit köprüler İmplant üstü...
Dişlerdeki çapraşıklık, aralıklar veya çene uyumsuzlukları modern ortodontik yöntemlerle tedavi edilir. İstersen klasik metal teller,...
Gülüş tasarımı, dişlerin, diş etlerinin ve dudakların birbiriyle uyumlu hale getirilmesi işlemidir. Kişiye özel planlanır; yüz hatları,...
Ağız sağlığının temeli düzenli diş bakımından geçer. Dişlerinizi günde en az iki kez, dairesel hareketlerle ve 2 dakika boyunca...
Diş pırlantası, diş yüzeyine zarar vermeden uygulanan küçük bir estetik taştır. Uygulama ağrısızdır, ortalama 10–15 dakika sürer ve isteğe...
Diş Sıkma (Bruksizm) hakkında detaylı bilgi almak ve ücretsiz muayene için bizimle iletişime geçebilirsiniz.
Diş Sıkma (Bruksizm) hakkında daha fazla bilgi almak için iletişime geçebilirsiniz.
PAZARTESI: 12:00 - 00:00
SALI: 12:00 - 18:00
ÇARŞAMBA: 12:00 - 18:00
PERŞEMBE: 12:00 - 00:00
CUMA: 12:00 - 18:00
CUMARTESI: 12:00 - 00:00
PAZAR: 12:00 - 00:00
Bu web sitesindeki tüm bilgi, yorum ve görseller sadece bilgilendirme amaçlıdır. Teşhis veya tedavi yöntemine yönlendirme amacı taşımaz. ©2026 Eylül Dent Ağız ve Diş Sağlığı Polikliniği
Bu site reCAPTCHA ile korunmaktadır ve Google Gizlilik Politikası ve Hizmet Şartları geçerlidir.