İmplant Tedavisi
Eksik dişlerin yerine doğal diş kökü görevi gören titanyum implantlar yerleştiriyoruz. İmplant tedavisi sayesinde hem estetik görünüm hem...
Eksik dişleriniz için hem estetik hem de fonksiyonel çözümler sunuyoruz. Hareketli protezler Sabit köprüler İmplant üstü protezler Her hasta için kişisel ölçüler alınarak konforlu, doğal görünümlü protezler hazırlanır.
Hızlı değerlendirme
Uzman ekibimizle kısa bir ön görüşme yaparak süreç, süre ve fiyat aralığı hakkında hızlı bilgi alabilirsiniz.
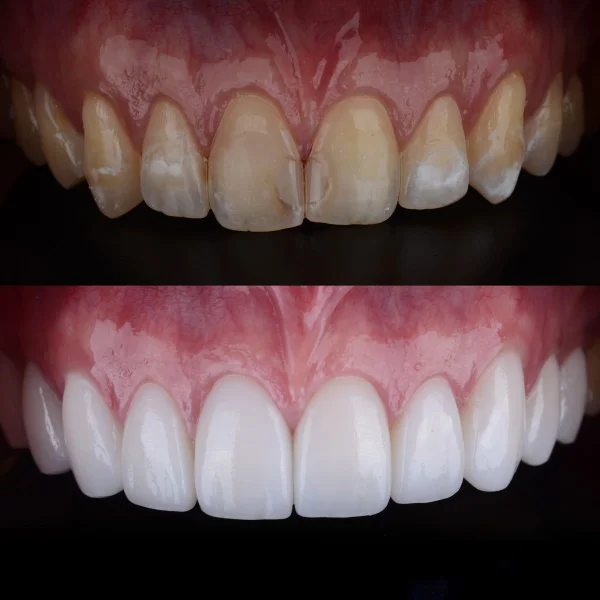
🦷 PROTEZ UYGULAMALARI
Eksik Dişlerinize Yeniden Fonksiyon, Estetik ve Konfor 🌿
Protez uygulamaları, çeşitli nedenlerle kaybedilen dişlerin ve çevre dokuların işlevini, estetiğini ve konuşma fonksiyonunu yeniden kazandırmak amacıyla yapılan tedavilerdir.
Amaç, doğal diş görünümünü ve çiğneme rahatlığını geri kazandırmaktır.
Diş eksikliği sadece estetik değil, çiğneme, konuşma ve çene sağlığı açısından da önemlidir.
Protez tedavileri, bu kayıpları telafi ederek ağız fonksiyonlarını yeniden dengeler.
⸻
💎 PROTEZ TÜRLERİ
🔹 Sabit Protezler (Köprüler, Kaplamalar)
Diş veya implant üzerine kalıcı olarak yapıştırılan, çıkarılamayan protezlerdir.
Zirkonyum, E-max veya metal destekli porselen malzemelerle hazırlanabilir.
Tek diş eksikliklerinde veya birkaç dişin eksik olduğu durumlarda tercih edilir.
Avantajları:
Doğal görünüm ve yüksek dayanıklılık sağlar.
Ağızda sabit olduğu için konforludur.

⸻
🔹 Hareketli Protezler (Takıp Çıkarılabilir)
Çok sayıda diş eksikliği olan veya hiç dişi kalmamış hastalarda uygulanır.
Tam protez (tam dişsizlikte) veya parsiyel protez (kısmi dişsizlikte) olarak yapılabilir.
Avantajları:
Daha ekonomik bir seçenektir.
Kaybedilen destek dokuların görünümünü de düzeltir.

🔹 İmplant Üstü Protezler
Çene kemiğine yerleştirilen implantların üzerine yapılan protezlerdir.
Sabit veya hareketli formda olabilir.
Avantajları:
Doğal diş hissi verir, çene kemiğini korur.
Oynama veya düşme riski yoktur.
Uzun ömürlü ve konforludur.
⸻
🌸 PROTEZ TEDAVİSİ SÜRECİ
1. Muayene ve Planlama: Ağız içi ölçü alınır, eksik diş sayısı ve kemik yapısı değerlendirilir.
2. Protez Hazırlığı: Laboratuvarda kişiye özel diş rengi, formu ve boyutu belirlenir.
3. Deneme ve Uyum: Protez hastaya uygulanır, konuşma ve çiğneme fonksiyonları kontrol edilir.
4. Teslim ve Kontrol: Gerekli ayarlamalar sonrası protez kalıcı hale getirilir.

🌿 PROTEZ SONRASI DİKKAT EDİLMESİ GEREKENLER
Günlük temizlik ve bakım ihmal edilmemelidir.
Sert gıdalar başlangıçta dikkatli tüketilmelidir.
Düzenli hekim kontrolleriyle protezin uyumu takip edilmelidir.
⸻
💬 PROTEZ TEDAVİSİNİN FAYDALARI
Eksik dişlerin neden olduğu fonksiyon ve estetik kaybı ortadan kaldırır.
Konuşma ve çiğneme fonksiyonunu geri kazandırır.
Yüz estetiğini destekler, daha genç ve sağlıklı bir görünüm sağlar.
Özgüveni ve yaşam kalitesini artırır.
⸻
✨ Protez uygulamaları sayesinde yeniden rahatça gülümseyebilir, konuşabilir ve yemek yiyebilirsiniz.
🌿 Sağlam, estetik ve konforlu bir gülüş artık mümkün!
Eksik dişlerin yerine doğal diş kökü görevi gören titanyum implantlar yerleştiriyoruz. İmplant tedavisi sayesinde hem estetik görünüm hem...
Kliniğimizde cerrahi müdahaleler steril ortamda, deneyimli hekimlerce yapılır. Gömülü diş çekimleri Kist operasyonları İmplant...
Dişlerdeki çapraşıklık, aralıklar veya çene uyumsuzlukları modern ortodontik yöntemlerle tedavi edilir. İstersen klasik metal teller,...
Gülüş tasarımı, dişlerin, diş etlerinin ve dudakların birbiriyle uyumlu hale getirilmesi işlemidir. Kişiye özel planlanır; yüz hatları,...
Diş pırlantası, diş yüzeyine zarar vermeden uygulanan küçük bir estetik taştır. Uygulama ağrısızdır, ortalama 10–15 dakika sürer ve isteğe...
ABD'deki bir diş hekimliği fakültesinde elektronik sağlık kayıtları üzerine bir çalışma
Protez Uygulamaları hakkında detaylı bilgi almak ve ücretsiz muayene için bizimle iletişime geçebilirsiniz.
Protez Uygulamaları hakkında daha fazla bilgi almak için iletişime geçebilirsiniz.
PAZARTESI: 12:00 - 00:00
SALI: 12:00 - 18:00
ÇARŞAMBA: 12:00 - 18:00
PERŞEMBE: 12:00 - 00:00
CUMA: 12:00 - 18:00
CUMARTESI: 12:00 - 00:00
PAZAR: 12:00 - 00:00
Bu web sitesindeki tüm bilgi, yorum ve görseller sadece bilgilendirme amaçlıdır. Teşhis veya tedavi yöntemine yönlendirme amacı taşımaz. ©2026 Eylül Dent Ağız ve Diş Sağlığı Polikliniği
Bu site reCAPTCHA ile korunmaktadır ve Google Gizlilik Politikası ve Hizmet Şartları geçerlidir.